본문 바로가기 대메뉴 바로가기

타이거치과 ㅣ 수원치과 ㅣ 광교치과 ㅣ 수원임플란트 ㅣ 수원치과추천

로그인
메뉴
Move Top

성공스토리

타이거치과를 만나 밝은 미소를 되찾게 된
환자분들의 실제 치료 사례

치료사례

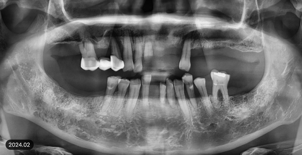
치료사례 > 임플란트

주*옥 임플란트 시술사례

풀케이스 임플란트 시술사례

위 사진은 동일 조건에서 촬영 되었습니다.
모든 치료에는 부작용이 발생할 수 있습니다.

치료사례 > 임플란트

한*명 임플란트 시술사례

풀케이스 임플란트 시술사례

위 사진은 동일 조건에서 촬영 되었습니다.
모든 치료에는 부작용이 발생할 수 있습니다.

치료사례 > 임플란트

김*두 임플란트 시술사례

풀케이스 임플란트 시술사례

위 사진은 동일 조건에서 촬영 되었습니다.
모든 치료에는 부작용이 발생할 수 있습니다.

치료사례 > 임플란트

김*진 임플란트 시술사례

풀케이스 임플란트 시술사례

위 사진은 동일 조건에서 촬영 되었습니다.
모든 치료에는 부작용이 발생할 수 있습니다.

치료사례 > 임플란트

찐*위 임플란트 시술사례

풀케이스 임플란트 시술사례

위 사진은 동일 조건에서 촬영 되었습니다.
모든 치료에는 부작용이 발생할 수 있습니다.

치료사례 > 임플란트

이*현 임플란트 시술사례

풀케이스 임플란트 시술사례

위 사진은 동일 조건에서 촬영 되었습니다.
모든 치료에는 부작용이 발생할 수 있습니다.

치료사례 > 임플란트

신*종 임플란트 시술사례

풀케이스 임플란트 시술사례

위 사진은 동일 조건에서 촬영 되었습니다.
모든 치료에는 부작용이 발생할 수 있습니다.

치료사례 > 임플란트

김*배 임플란트 시술사례

풀케이스 임플란트 시술사례

위 사진은 동일 조건에서 촬영 되었습니다.
모든 치료에는 부작용이 발생할 수 있습니다.

치료사례 > 임플란트

허*상 임플란트 시술사례

풀케이스 임플란트 시술사례

위 사진은 동일 조건에서 촬영 되었습니다.
모든 치료에는 부작용이 발생할 수 있습니다.

치료사례 > 임플란트

연*기 임플란트 시술사례

풀케이스 임플란트 시술사례

위 사진은 동일 조건에서 촬영 되었습니다.
모든 치료에는 부작용이 발생할 수 있습니다.

1  ·  2  ·  3  ·  4  ·  5  ·  6  ·  7  ·  8  ·  9  ·  10  

간편상담신청

닫기